Velkommen til Tårnby Tandteknik
Vi lægger vægt på at give dig en tryg og god oplevelse fra start til slut.
Vi hjælper dig med alt det praktiske
- Finansering af tandproteser
- Søge tilskud hos det offentlige
- Indberetter til sygeforsikring “Danmark"
- Fuld tilfredshedgaranti
Tak til Kim Rasmussen og hele personalet. Tak for Jeres ekspertise og venlighed. Det kan ikke gøres bedre.
Tak for en hurtig og meget tilfredsstillende hjælp – I er dygtige!
Et enkelt ord beskriver dette sted på alle måder. Fantastisk!
Professionel behandling, venligt personale, og der bliver taget hånd om dit tandsæt på bedste vis. Har kun godt at sige om protesen som blev slutresultatet.
Har kun godt at sige, meget venligt og kompetent personale, som laver et flot stykke arbejde med et venligt smil og, og jeg er super tilfreds med min tandprotese.
Utrolig professionelle og dygtige til det de laver. Virkelig søde hvor man føler sig meget velkommen.
Lækkert sted med sødt personale de ved sku hvad de laver kan varmt anbefale dem
En tryk og god professionel behandling.
Rigtig godt sted og dygtige.
Book en tid og få en gratis vurdering
Tandbehandling er en individuel og personlig behandling. Vi er derfor altid parat til, gratis og uforpligtende, at give dig en individuel og personlig vurdering af, hvilken protesebehandling der passer til dig.
Tårnby tandteknik ApS
Tandteknikken har eksisteret siden 1990. Klinikken består af 6 medarbejdere, hvilket gør os til en af landets største tandteknik klinikker.
Vi er et godt sammensat team med højt kvalificerede medarbejdere med sammenlagt over 150 års erfaring.
I vores top moderne laboratorium, med det nyeste udstyr, fremstiller vi alle vores proteser af de bedste materialer og i den bedste kvalitet.
Vi arbejder med den nyeste teknologi, kvalitetskontrol og det nyeste udstyr inden for tandteknik, og fremstiller alle former for avancerede proteser og tandteknik.
Linea Rasmussen
Behandlinger
– Vi opretter en journal på dig, og vi giver altid et prisoverslag på behandlingen før vi går i gang med behandlingen
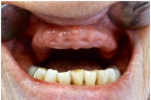
Helproteser
Står du i en situation, hvor du har mistet alle dine egne tænder, så kan vi hjælpe dig med at få dit naturlige smil tilbage.
Læs mere →
Rebasering
En tandprotese passer ikke nødvendigvis resten af livet, når først den er lavet.
Læs mere →
Ganespalteprotese
På klinikken fremstiller vi ganespalteprotester, også kaldet obturatorproteser.
Læs mere →
Naturtro protese
Vi laver naturtro proteser, hvor du ikke vil kunne se forskel på dine egne, naturlige tænder og dine nye.
Læs mere →
Blød basisprotese
Oplever du, at du har problemer med at bruge din protese i undermunden på grund af smerter?
Læs mere →
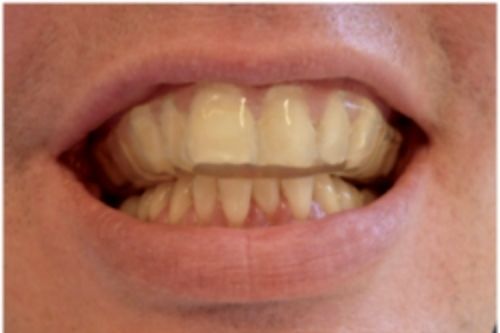
Tandbeskytter
Anvendelsen af tandbeskyttere er en fordel, hvis du dyrker eksempelvis boksning, ishockey og andre sportsgrene, hvor tandskader kan forekomme.
Læs mere →
Hybridprotese
Selvom du har mistet alle dine tænder, og kæben er i en sådan tilstand, at det kan være svært at fastholde en tandprotese, har du stadig muligheder.
Læs mere →
Vedligehold af tandprotese
Din protese bliver kontrolleret for pasform, den renses, poleres og eventuelle bøjler forgyldes og strammes op.
Læs mere →
Gratis forundersøgelse
Overvejer du hvilke muligheder du har i forhold til dine tænder? Så kontakt os, vi tilbyder nemlig en helt gratis og uforpligtende forundersøgelse.
Her er vores personale
– Parat til at hjælpe dig med den bedste behandling
Kim Rasmussen
Aut. klinisk tandtekniker
Linea Rasmussen
Aut. klinisk tandtekniker
Aleksandra Skivinger
Laboratorie tandtekniker
Jolanta Møller
Laboratorie tandtekniker
Benjamin Jensen
Laboratorie tandtekniker
Linda Lindberg
Tand klinikassistent
