Rebasering

En tandprotese passer ikke nødvendigvis resten af livet, når først den er lavet.

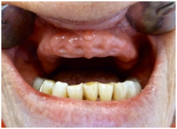
Der sker nogle naturlige forandringer i din mundhule, som gør, at protesen ikke længere sidder, som den skal. I et sådant tilfælde er det ofte nødvendigt at lave en rebasering — altså fremstille en ny bund i protesen så den igen sidder optimalt. Har du problemer med din protese? Så kontakt os på klinikken til en gratis, uforpligtende forundersøgelse, hvor vi kigger på dit problem.

Hvad er en rebasering?

En rebasering betyder, at der støbes en ny bund i tandprotesen, så den igen passer til din mund. Ved forandringer i din kæbe kan der opstå et hulrum under protesen, der får den til at sidde løst. Dette kan give problemer, når du skal tygge og generelt skabe en ukomfortabel oplevelse. Det er specielt ved tandudtrækninger, at der kan skabes sådanne hulrum, da de udtrukne tænder efterlader nogle huller efter rødderne, der får kæben til at svinde og blive smallere.

Bestil forundersøgelse

Tandbehandling er en individuel og personlig behandling. Vi er derfor altid parat til, gratis og uforbindende, at give dig en individuel og personlig vurdering af, hvilken behandling og løsning der vil passe dig.