Bidskinne

En bidskinne kan afhjælpe problemer med tænderskæren, så du undgår unødig slid på dine tænder, der kan medføre både kosmetiske og bidfunktionelle problemer.

Samtidig kan bidskinnen også afhjælpe de eventuelle muskelsmerter, der kan opstå ved tilstanden. Vi tilbyder en gratis, uforpligtende forundersøgelse, hvor vi undersøger netop dit tilfælde.

Sådan fungerer en bidskinne

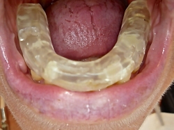
Bidskinnen fremstilles efter et aftryk af dine tænder, så den passer helt præcist til dit bid. Der kan bruges mange forskellige materialer — bløde som hårde og en kombination. Bidskinnen sættes fast henover underkæbetænderne, hvormed tænderne ikke slides. Samtidig kan den også minimere de lydgener der kan være relaterede til tilstanden.

Bestil forundersøgelse

Tandbehandling er en individuel og personlig behandling. Vi er derfor altid parat til, gratis og uforbindende, at give dig en individuel og personlig vurdering af, hvilken behandling og løsning der vil passe dig.