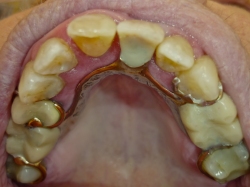
Delproteser
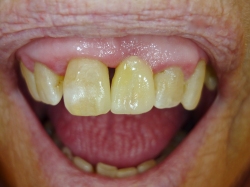
En delprotese kan hjælpe dig, der har mistet nogle af dine naturlige tænder.
Vi sørger for, at du får udfyldt hullerne med tænder, der ligner dine egne — både i farve og størrelse. På denne måde kan du få dit eget naturlige smil tilbage. Kontakt vores klinik for en gratis og uforpligtende forundersøgelse, hvor vi i fællesskab undersøger, hvilken løsning der er bedst for dig, så du kan få et resultat, du er tilfreds med.









Hvad er en delprotese?
Der findes forskellige former for delproteser. Hvilken type der er bedst for dig afhænger af, hvilken stand dine naturlige tænder er i, samt hvor mange der er tilbage. De forskellige muligheder er henholdsvis unitorproteser, partielle proteser og flexiteproteser. Du kan læse mere om de forskellige løsninger herunder.
Unitorprotese
Denne form for delprotese er den mest almindelige, da den fylder minimalt i munden. Yderligere kan den udvides med flere tænder, hvis der på et senere tidspunkt skulle blive behov for det. Læs mere under udvidelse af protese. Den sidder fast i munden ved hjælp af bøjler, der er støbt efter formen på dine egne tænder, hvilket sikrer at den er yderst stabil. Protesen bliver fremstillet i krom og kobolt, hvilket gør at den er meget brudsikker.
Partiel protese
Den partielle protese bliver ofte kaldt en overgangsprotese, da den er mulig at udvide med flere tænder. Derfor bruges den også oftest, hvis dine egne tænder er svage eller ikke forventes at have så lang levetid. Denne type protese ligger på gummen og kan derfor være mere ustabil i sammenligning med en unitorprotese. Samtidig fylder den mere i munden og har en lavere holdbarhed.
Flexiteprotese
Flexiteprotesen har den fordel, at de ikke sættes fast med bøjler, men i stedet klipses på dine tilbageværende tænder. Samtidig er de fremstillet i en meget stærk vinyl, der er meget fleksibel og bøjelig. Der er ved denne form for protese også mulighed for, at den kan laves som en helprotese.
Udvidelse af protese
Delproteser kan udvides, så du ikke behøver at få en helt ny protese, hvis du skulle miste endnu en af dine naturlige tænder. Fleksibiliteten er derfor stor, når du har en delprotese. Skal du have trukket en tand ud, tager vi et aftryk af tanden inden da. Din protese vil så efterfølgende være klar ca. tre timer efter. Du behøver altså ikke være bekymret for, at du skal gå uden tænder på noget tidspunkt. Vi tilbyder en gratis, uforpligtende forundersøgelse, hvor vi undersøger dine muligheder.
Bestil forundersøgelse
Tandbehandling er en individuel og personlig behandling. Vi er derfor altid parat til, gratis og uforbindende, at give dig en individuel og personlig vurdering af, hvilken behandling og løsning der vil passe dig.
