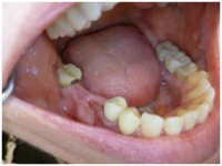
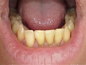
Provisorisk protese
Skal du have trukket tænder ud, som efter helingsprocessen skal erstattes med en fast løsning?
En provisorisk protese sikrer, at du ikke skal gå uden tænder i den mellemliggende periode, så du hele tiden opretholder et flot smil. Så skal du ikke bekymre dig om det kosmetiske og praktiske efter udtrækningen. Vi tilbyder en gratis, uforpligtende forundersøgelse, hvor vi sammen finder den løsning, der er bedst for dig.





Sådan foregår forløbet
Den provisoriske protese fremstilles inden udtrækningen af tænderne og indsættes umiddelbart efter. Når kæben er helet efter ca. tre til seks måneder, kan den endelige faste bro fremstilles. Du er altså på intet tidspunkt nødsaget til at mangle tænder.
Bestil forundersøgelse
Tandbehandling er en individuel og personlig behandling. Vi er derfor altid parat til, gratis og uforbindende, at give dig en individuel og personlig vurdering af, hvilken behandling og løsning der vil passe dig.
