Snorkeskinne
Vi ved, hvor generende snorken kan være for både dig selv og dine omgivelser, men der er heldigvis en løsning på problemet.
En snorkeskinne modvirker nemlig både snorken og søvnapnø, så du igen kan få en behagelig nattesøvn. Alle tilfælde er individuelle, og derfor tilbyder vi dig en gratis og uforpligtende forundersøgelse, hvor vi kan undersøge mulighederne for dig.



Sådan fungerer en snorkeskinne
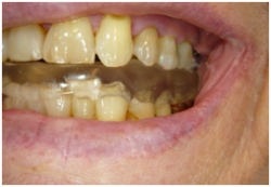
Snorkeskinner fremstilles, så underkæben bider på snorkeskinnen længere fremme i munden end dit normale bid. På denne måde trækkes muskulaturen frem, så kæben ikke falder tilbage i svælget. Normalt er det netop dette tilbagefald af kæben, der er årsagen til din snorken. Snorkeskinnen modvirker desuden også tænderskæren. Snorkeskinnen fremstilles specielt til dig.
Bestil forundersøgelse
Tandbehandling er en individuel og personlig behandling. Vi er derfor altid parat til, gratis og uforbindende, at give dig en individuel og personlig vurdering af, hvilken behandling og løsning der vil passe dig.
